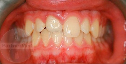
Интрузия зуба
Механическая травма зуба или зубов, в следствии которой происходит внедрение (вколачивание), погружение зуба внутрь челюстной альвеолы (лунки) зуба.
В ортодонтии интрузия - это вертикальное перемещение зуба при помощи брекет-системы.

Причины интрузии зуба.
Удар, полученный при падении. Чаще всего интрузия случается у маленьких детей, до 5 лет, в этом возрасте минерализация костной ткани не завершена, поэтому вертикальные удары могут повредить относительно мягкие стенки детских челюстных альвеол. В основном происходит интрузия детских резцов, реже моляров.
Методика лечения интрузии.
Срочное посещение стоматолога, убережёт пациента от осложнений. После рентгеновского снимка, можно определить, повредил ли интрузионный молочный зуб, зачаток постоянного зуба или нет, если нет, то ждут 2-5 недель, в течении этого времени, смещённый зуб может вернутся в прежнее положение, при повреждении зачатка постоянного зуба или переломе вколоченного молочного зуба, проводят удаление молочного зуба.
Запишитесь на первичную консультацию в клинику
Проведем комплекс исследований и сформируем план лечения
Акции и спецпредложения
Все акцииСпециалисты клиники
Фото нашей клиники
Статьи
Контакты
Запишитесь на первичную консультацию в клинику
Проведем комплекс исследований и сформируем план лечения






























































